Ästhetik
Bleaching - Veneers - Lumineers

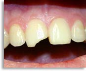
Vorher

Nacher
Veneers sind Keramikverblendschalen, die speziell für die Frontzähne angefertigt werden. Diese sehr dünnen (etwa 0,5 mm), aus Keramik gefertigten Schalen, werden auf den zu behandelnden Zahn geklebt und decken diesen über den gesamten sichtbaren Bereich ab.
Häufige Einsatzbereiche sind:
- abgebrochene Zähne
- unschöne Füllungen
- verfärbte Zähne
- Lücken zwischen den Frontzähnen
- Zähne unterschiedlicher Größe

Verglichen mit der Überkronung von Zähnen, zeigt sich die Verwendung von Veneers viel zahnschonender, da viel weniger Zahnsubstanz abgetragen werden muss um die Veneers aufzubringen, als um eine Krone zu befestigen. Die Oberfläche des Zahnes muss dabei etwa 0,5 - 0,8mm abgeschliffen werden, dies bedeutet zwar ebenfalls einen Verlust von Zahnsubstanz, aber eben weitaus weniger als zur Überkronung eines Zahnes entfernt werden müßte.